欢迎您访问江西省人民医院,本站祝您身体健康!今天是: 预约挂号 | 设为首页 | 加入收藏
站内搜索: 热门搜索:
就医指南
预约诊疗 门诊安排 就诊流程
医保新农合 住院须知 查询服务
 
交通方位 健康体检  
 
  江西省人民医院 > 健康百科 >
仁医科普丨2023世界口腔健康日科普:杜绝舌不良习惯 矫治错牙合(he)畸形
发布日期:2023-03-21 10:50    信息来源:未知    作者:admin    访问次数:
  口腔是人体的门户之一。口腔健康与全身健康密切相关。一些全身疾病可能在口腔出现相应的表征。健康的口腔在生命的各个阶段都很重要。2023年3月20日是第16个世界口腔健康日,活动主题是“为健康口腔而自豪”,副主题是“关注口腔健康 一生拥有灿烂笑容”。在世界口腔健康日到来之际,江西省人民医院(南昌医学院第一附属医院)口腔科主任刘新庆主任医师提醒广大市民:注重口腔健康,正确运用舌头,护佑我们的口腔。
 
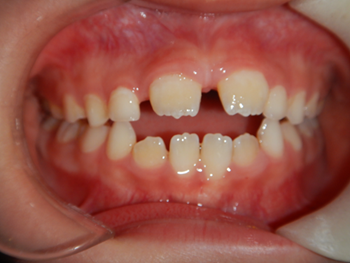
  舌是口腔中司咀嚼、语言、吞咽、发音、味觉感受、情感表达等重要器官,当舌体积、舌位置、舌压、舌系带附着、舌功能运动等异常,不仅影响舌上述功能的表达,同时诱发错[牙合(he)]畸形的产生。


 
图3 吐舌、伸舌、舔牙、异常吞咽
等不良习惯诱发开牙合(he)畸形
 
  舌相关错牙合(he)畸形的预防
  (1)早期预防:
  母乳喂养最好别少于6个月,因为相比母乳喂养,人工喂养儿童更容易出现舌不良习惯。在6个月左右时可以添加辅食,有利于婴儿式吞咽向成熟型吞咽过渡转变。
  (2)行为引导:
  行为引导是改掉舌不良口腔习惯非常重要的一个环节,父母可通过说服教育、监督提醒及奖赏激励,来调动孩子的自身积极性,改掉不良的舌习惯。
  (3)阻断性矫治:
  可以在专业医师的指导下,选择不同的矫治器进行舌不良习惯的阻断性矫治。
 
  (4)舌肌训练:
  舌肌训练的方法很多,如口香糖摊饼训练、弹舌训练、卷舌训练、缩舌训练、舌尖顶橡皮圈训练、4S训练、喝水吞咽训练、触鼻点颏训练、牙齿计数训练、张口训练、N点训练、舌头画圈训练等。
 
  口香糖摊饼训练:将嚼软的口香糖卷成团状置于上切牙后5mm处,用舌体压住口香糖,同时做吞咽动作将口香糖在硬腭部摊平,每天训练半小时。此训练有利于不典型吞咽习惯和舌不良习惯的患者建立正常吞咽方式和舌姿势位。
 
  综合正畸治疗:对于因舌及其不良习惯已经产生错牙合(he)畸形的患者,则应选择矫治器结合舌肌训练的方法纠正错牙合(he)畸形,巩固治疗疗效。
文图丨口腔科  刘新庆
编辑丨陈雨曦
审核丨罗昭淦
终审丨乐熙文
 



版权所有:江西省人民医院  通讯地址:南昌市爱国路152号  邮政邮编:330006 网站投递邮箱: jxphxc@163.com
   咨询电话:0791-86895550 传真:0791-86895863  赣ICP备12006239号-1  洪卫网审【2014】第10号
您是本站第:677624 位访问者!