
腹部平片示膀胱巨大结石

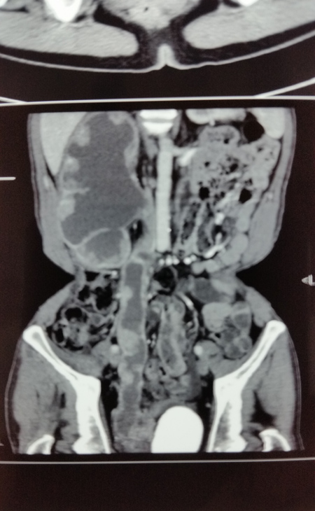
CT增强扫描示右肾、右输尿管多发性肿瘤
日前,泌尿外科王金根主任医师为一位罕见的肾、输尿管、膀胱多发性肿瘤患者成功实施了切除手术,一次性完整切除右肾、右输尿管和全膀胱,术后没有并发症,病理切片证实为腺癌,各切缘均未见癌细胞(表明切除彻底),患者顺利康复出院。患者是一位54岁男性,因反复肉眼血尿2年余,右侧腰痛2月余入院。入院后经相关检查很快确诊了病情:右侧肾盂肾盏、右输尿管全长和膀胱内均生长了大量肿瘤,同时合并感染发烧,膀胱内还有一个巨大结石,此外还存在严重贫血和营养不良,全身水肿。手术切除是患者目前唯一的治疗选择。由于长期梗阻,右侧肾盂肾盏和输尿管重度扩张,加上近期合并感染,肾脏周围广泛粘连,手术分离过程中肾脏及输尿管壁极易破损,一旦破损将会导致肿瘤扩散,严重影响疗效。因此手术难度极大,风险很高,对手术医生的技术要求非常高。王金根博士组织全科专家反复讨论制定治疗方案,并亲自带领治疗组进行充分细致的术前准备。2014年6月9日,由王博士主刀,在全麻下为患者施行了手术。手术中发现患者右肾体积巨大,与腰背部肌肉、肝脏、结肠和下腔静脉等重要器官广泛紧密粘连,手术难度比术前估计的还要大。为了解除患者的病痛,挽救患者的生命,王金根博士、贾灵华硕士和包佑根医生等组成的手术小组迎难而上,历经八个小时的艰苦努力,终于将患者的右肾、输尿管和膀胱完整切除,邻近器官完好无损。
肾、输尿管和膀胱多部位同时发生腺癌在临床上极为罕见。目前对于肾盂或输尿管癌常规手术方式是肾脏、输尿管全长和膀胱袖套状切除。对于膀胱腺癌则是根治性全膀胱切除。一次性完整切除全尿路多发性肿瘤手术难度和风险都很大,不仅考验患者自身的耐受力,也考验医生的技术和体力。但是与分次手术切除相比,一次性完整切除保证了手术的无瘤原则,减少了肿瘤局部种植和术后复发、转移的机会,保证了疗效;同时避免了分次手术对患者身体的多次创伤,缩短了住院时间,大大减轻了患者的经济负担。
|