|
|
|
| 泌尿外科接连成功开展高精尖手术,学科发展再上新台阶 |
| 发布日期:2014-08-09 22:40 信息来源:本网编辑部 作者:admin 访问次数:
|
|
泌尿外科是江西省人民医院这座百年老院中一个相对比较年轻的学科。20多年来,在何洁卿、孟栋良等老一代泌尿科医生的带领和努力下,特别是改革开放以来,泌尿外科取得了很大发展,上世纪90年代初在江西省内率先开展肾脏移植,并一直保持省内领先地位,为后来器官移植科的成立奠定了坚实的基础。去年底,中组部博士团姜先洲博士来到我院挂职副院长并加入泌尿外科临床一线;今年初,学科带头人顺利实现新老交替,泌尿外科在王金根博士带领下,团队充满活力,接连成功开展了多项高精尖手术。

开展输尿管软镜技术
随着二十世纪输尿管镜技术和经皮肾镜技术的发展,以王金根博士为代表的泌尿系结石治疗团队努力钻研,技术精益求精,泌尿系结石的微创手术每年都在600台以上,并在全省多家医院开展指导帮扶工作,在省内知名度不断提高,目前已跻身省内领先地位。今年7月,泌尿外科紧跟国际先进水平,在王金根博士亲自主持下,顺利开展了肾结石的输尿管软镜治疗新技术,从而使得江西省人民医院泌尿外科在结石治疗方面形成了由体外震波碎石、输尿管镜、输尿管软镜、经皮肾镜组成的完备的微创治疗体系,泌尿系结石治疗达到国内乃至世界先进水平。
6月初的一个夜晚,一名肾结石导致无尿3天的危重患者从宜春市紧急转入我院ICU,我院ICU迅速给予检查,发现患者全身浮肿、腹水、呼吸困难、意识淡漠、高血压,心电图显示心脏Q波异常,进一步血液检查显示肌酐值达到2888!是近年来我院接诊肌酐值最高的患者,此外患者肝脏功能异常,凝血异常,高血钾。如果血钾进一步升高,心脏随时会停跳。这名肾结石患者多年前在外院进行了右肾体外震波碎石术,现在右肾萎缩,丧失功能。半月前发现左肾结石,又进行了碎石治疗,之后部分碎石进入输尿管造成了堵塞,患者逐渐出现少尿至无尿,发生急性肾功能衰竭。由于就医不及时引起了其他脏器功能同时受到损害,已经出现多器官功能衰竭;当地医院紧急抢救效果不佳转来我院。多器官功能衰竭患者的抢救是现代医疗的难题,当同时发生三个系统或器官功能损害时患者死亡率可高达80%。尽早治疗首先发生的器官功能衰竭,阻断其病理连锁反应,防止更多系统器官功能受损是治疗的重中之重。
ICU经过讨论,决定立即进行血液滤过治疗。随着黎明的到来,经过10余小时的血滤,患者病情有所稳定,但仍然危在旦夕。ICU请求泌尿外科急会诊,中组部博士团在我院挂职副院长的泌尿外科博士、山东大学齐鲁医院姜先洲副教授迎难而上,带领值班的朱遵伟医生与ICU联合讨论认为:尽快手术解除输尿管梗阻是治疗患者急性肾功能衰竭、阻断多器官功能衰竭的最好办法,但手术风险极大。姜先洲博士亲自和患者家属沟通,患者家属表示家在农村,经济条件有限,无法承受长期血滤的高昂费用,要求尽快手术,并反复强调百分之百的相信医院,愿意承担手术风险。姜博士果断决定马上安排急诊手术。时间就是生命!术前准备紧张而有序的展开,泌尿外科其他多名医生和麻醉科的周朝晖医生也加入到抢救小组;抢救小组再次讨论手术方案,认为应该用最快捷的方法首先解除梗阻,等待患者条件改善后再进一步治疗肾盂和输尿管的结石。由于急性肾衰造成患者全身包括肾脏肿胀,因此无论是解剖位置还是组织脆性都与常人不同,给穿刺带来很大困难,同时由于患者肝功能同时受损导致凝血功能异常,容易引起穿刺后出血。抢救小组决定先行局部麻醉下经皮肾穿刺造瘘术,一旦失败或者发生大出血,备用方案行全身麻醉下输尿管镜钬激光碎石术,初步击碎输尿管结石后置管引流尿液。朱遵伟医生主动请缨,在超声精确实时引导下顺利完成穿刺、扩张、置管,引出尿液。大家刚松一口气,然而很快出现了肾脏出血,造瘘管无法继续引流尿液。抢救小组紧急磋商,决定启用第二方案,施行输尿管镜碎石术。虽然由于患者肝、肾功能不全,麻醉药品代谢及排泄异常,但麻醉医师仍然精确实施了全身麻醉,姜博士亲自上台,利用输尿管硬镜和大功率钬激光,快速击碎输尿管结石,放置内引流管并拔除肾造瘘管。第二天肾脏不再出血,患者由少尿期进入到多尿期,术后10天左右,肌酐恢复到正常水平,其他器官功能也逐渐恢复。七月中旬,各项功能基本正常的患者再次回到医院,泌尿外科应用目前国际上先进的输尿管软镜技术,彻底解决了左肾结石。
腹腔镜技术是近年来泌尿外科微创新技术的另一热点,我院泌尿外科虽较早开展此项技术,但由于设备限制等因素,进展比较缓慢。近2年来,随着高清腹腔镜及配套器械的的投入使用,泌尿外科腹腔镜技术得到了较快发展,特别是从去年11月中组部博士团姜先洲博士的加入,给科室注入了新的活力,陆续开展了腹腔镜前列腺癌根治术、全腹腔镜下女性全膀胱切除子宫切除,腹腔镜全膀胱切除加原位膀胱术,腹腔镜巨大肾错构瘤剜除术,经腹腔镜嗜硌细胞瘤切除术、腹腔镜肾盂成形术等高难度手术,专业队伍建设取得了巨大进步,一批年轻医生的腹腔镜技术得到跨越式发展。
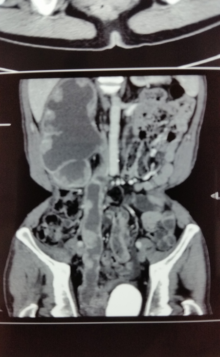
在全方位开展微创新技术的同时,泌尿外科并没有放松和抛弃传统开放手术这一看家本领。今年6月,王金根博士为一位罕见的肾、输尿管、膀胱多发性肿瘤患者成功实施了传统开放切除手术,一次性完整切除右肾、右输尿管和全膀胱,术后没有并发症,病理切片证实为腺癌,各切缘均未见癌细胞(表明切除彻底)。患者是一位54岁男性,反复肉眼血尿2年多,右侧腰痛2个月,近期还伴有发烧。入院后经相关检查很快确诊了病情:右侧肾盂肾盏、右输尿管全长和膀胱内均生长了大量肿瘤,同时合并感染,膀胱内还有一个巨大结石,此外还存在严重贫血和营养不良,全身水肿。用传统开放手术方法切除肿瘤是患者目前唯一的治疗选择。由于肿瘤引起梗阻并在此基础上发生感染,如果不尽早切除肿瘤,患者的感染无法控制,患者短期内就会有生命危险。然而由于长期梗阻,右侧肾盂肾盏和输尿管重度扩张,加上近期合并感染,肾脏周围广泛粘连,手术分离过程中肾脏及输尿管壁极易破损,一旦破损将会导致肿瘤扩散,严重影响疗效,因此手术难度极大,风险很高,对手术医生的技术要求非常高。王金根博士组织全科专家反复讨论制定治疗方案,并亲自带领治疗组进行充分细致的术前准备。2014年6月9日,由王博士主刀,在全麻下为患者施行了手术。手术中发现患者右肾体积巨大,与腰背部肌肉、肝脏、结肠和下腔静脉等重要器官广泛紧密粘连,手术难度比术前估计的还要大。为了解除患者的病痛,挽救患者的生命,王金根博士、贾灵华和包佑根医生等组成的手术小组迎难而上,历经八个小时的艰苦努力,终于将患者的右肾、输尿管和膀胱完整切除,邻近器官完好无损,患者顺利康复出院。
CT扫描示右肾、右输尿管、膀胱多发性肿瘤,膀胱巨大结石
随着各种新技术的开展,在科有特色,人有绝活的要求下,我院泌尿外科的微创技术得到长足发展, 95%以上的手术都在微创技术下完成。国内开展的绝大多数泌尿外科手术和治疗在江西省人民医院均能开展,这标志着我院的泌尿外科技术水平已基本跟上全国先进步伐,学科发展呈现蓬勃高涨趋势,医护人员的士气得到极大的鼓舞。
|
|
 |
|