欢迎您访问江西省人民医院,本站祝您身体健康!今天是: 预约挂号 | 设为首页 | 加入收藏
站内搜索: 热门搜索:
就医指南
预约诊疗 门诊安排 就诊流程
医保新农合 住院须知 查询服务
 
交通方位 健康体检  
 
  江西省人民医院 > 新闻中心 > 医院动态 >
仁医病例丨方哲参与指导多例疑难性室早射频消融治疗
发布日期:2022-05-31 11:05    信息来源:心内十区    作者:胡菁    访问次数:

正常的心脏电活动是规律的,如果某一次心跳提前出现了,那么该次心跳就称为“早搏”,早搏可以发生在心房或者心室,来源于心室的早搏称为“室性早搏”,简称“室早”。室早数量较多时可引起胸闷、心悸,如果室早长期存在,可能会引起部分患者心脏扩大,甚至心衰发作。

仁医病例丨方哲参与指导多例疑难性室早射频消融治疗

方哲(右一)在介入手术中

2022年5月中旬,江西省人民医院(南昌医学院第一附属医院)副院长方哲博士来到爱国路院区介入室,与省心血管病医院十科心律失常小组共同探讨多例疑难性室早射频消融治疗方法。

病例一

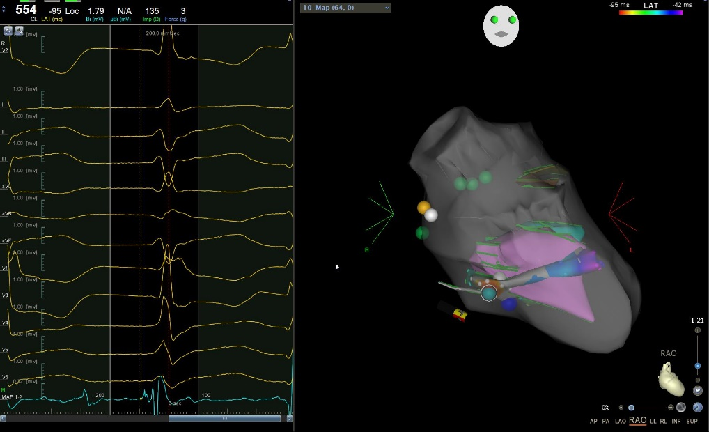
53岁男性患者,因晕厥2天于2022年5月21日入院,行动态心电图检查提示频发室早、短阵室速,来我院寻求治疗。心电图显示该型室早、室速来源于右室流出道,心内标测发现虽然右室流出道激动非常提前,但单极电图为rS型,且激动弥散,真实起源并不在右室流出道,最终在主动脉右冠窦找到最佳靶点,靶点上显示反转电位和碎裂电位,消融后室早立即消失。术后患者好转出院。

仁医病例丨方哲参与指导多例疑难性室早射频消融治疗

右冠窦室早消融靶点

病例二

31岁男性患者,因心悸半年、胸闷痛3天于2022年5月22日入院,曾在山东某院就诊行动态心电图检查提示频发室早、室速,于是来我院寻求治疗。动态心电图提示有两种主要形态的室早,一种位于右室流出道,该形态有室速发作,另一种位于三尖瓣希氏束旁。患者上台后室早数量较少,行常规的激动标测作用有限,根据术前对室早的精准定位,结合起搏标测把第一种形态室早消融成功。随后标测第二种形态室早,位于希氏束上方,常规贴靠非常困难,术者采用少用的“α”弯稳定贴靠希氏束上方,最终消融成功。

仁医病例丨方哲参与指导多例疑难性室早射频消融治疗

希氏束旁室早消融靶点

仁医病例丨方哲参与指导多例疑难性室早射频消融治疗

希氏束旁室早“α”弯消融

病例三

51岁女性患者,因胸闷、心悸半月于2022年5月28日入院,行动态心电图检查提示频发室早,室早负荷超过20%,于是来我院寻求治疗。根据患者心电图室早形态判断,室早可能来源于左后乳头肌,于是术者结合了心腔内超声进行室早消融手术。术中标测发现室早来源于左后乳头肌前组和后组之间,使用压力导管贴靠乳头肌就如同走钢丝,导管难以稳定贴靠,最终在心腔内超声指导下在两组乳头肌之间寻找到最佳靶点和稳定贴靠方式消融成功。

仁医病例丨方哲参与指导多例疑难性室早射频消融治疗

 

仁医病例丨方哲参与指导多例疑难性室早射频消融治疗

左后乳头肌超声建模和压力导管贴靠消融

方哲指出,要掌握各种室性心律失常心电图特点,包括His束旁、乳头肌、心大静脉等特殊部位,这有助于在射频消融术前进行初步定位,制定消融策略,减少标测并确定靶点时间,减少X线曝光时间,减少无效放电,减轻心肌损伤,提高消融成功率及减少手术并发症。

江西省人民医院-省心血管病医院心律失常团队可常规开展各种特发性与器质性心律失常的介入治疗,经验较丰富,2022年以来得到方哲博士的加盟指导,心律失常介入诊疗水平得到进一步提升。

文图丨心内十区 胡菁

编辑丨罗珊

审核丨罗昭淦

终审丨乐熙文



版权所有:江西省人民医院  通讯地址:南昌市爱国路152号  邮政邮编:330006 网站投递邮箱: jxphxc@163.com
   咨询电话:0791-86895550 传真:0791-86895863  赣ICP备12006239号-1  洪卫网审【2014】第10号
您是本站第:677624 位访问者!