欢迎您访问江西省人民医院,本站祝您身体健康!今天是: 预约挂号 | 设为首页 | 加入收藏
站内搜索: 热门搜索:
就医指南
预约诊疗 门诊安排 就诊流程
医保新农合 住院须知 查询服务
 
交通方位 健康体检  
 
  江西省人民医院 > 新闻中心 > 医院动态 >
花季少女腹藏巨大肿瘤!省人民医院精心“拆弹”解难题
发布日期:2022-07-13 10:35    信息来源:胃肠外科    作者:黄作喜    访问次数:

大学即将毕业的时候,谁都对未来充满憧憬,人生之路将是多么的丰富多彩~

小洁(化名)姑娘也正处在人生的十字路口,却突然遭到命运之神的重击,人生之路顿时乌云密布,荆棘丛生。小洁今年23岁,于毕业体检时突然发现腹腔有一巨大肿块,母亲得知这一消息后焦急万分,为了女儿的健康,立即赶到江西省人民医院(南昌医学院第一附属医院)就诊。

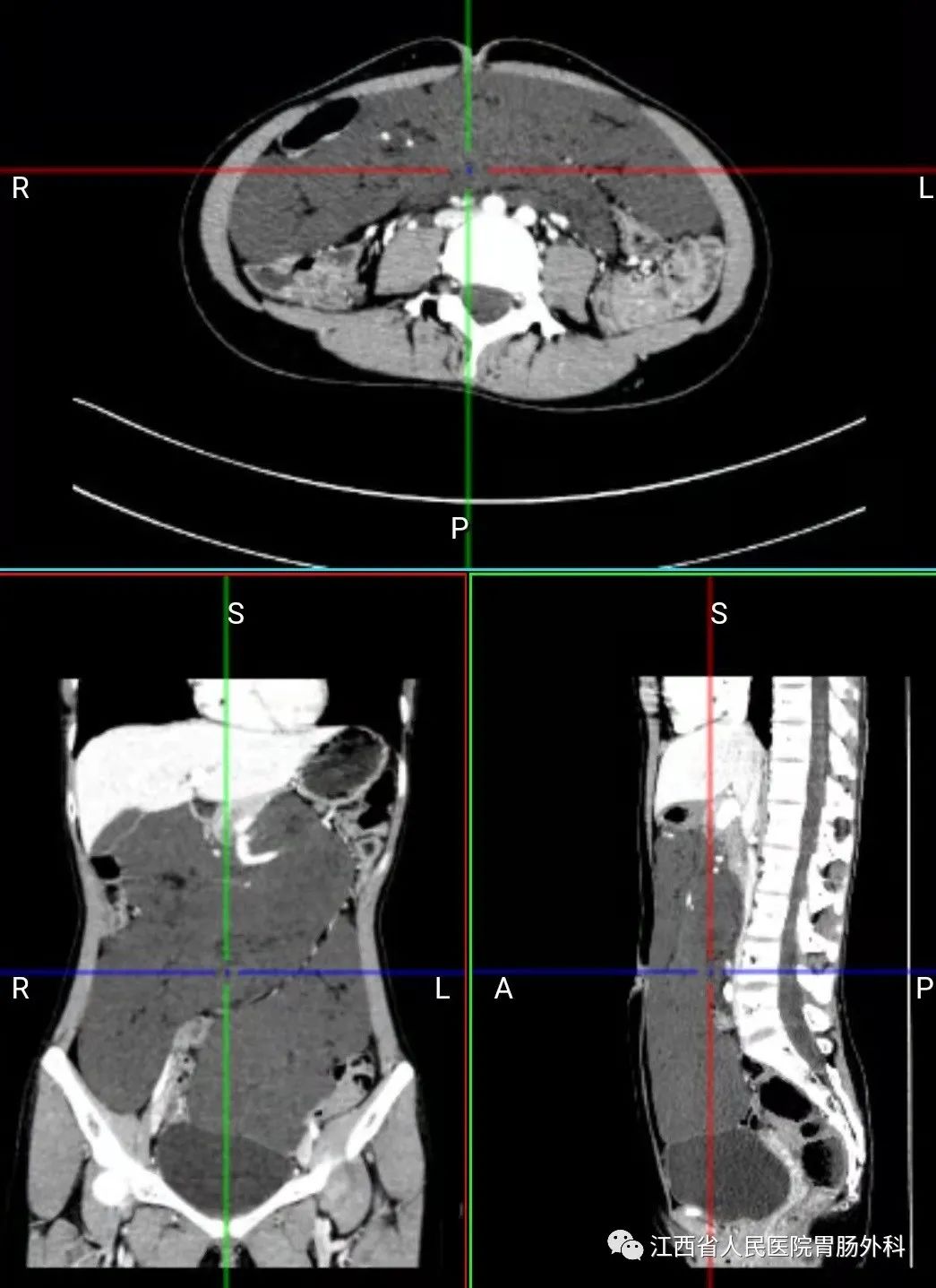
入院后完善相关检查,腹部CT显示:腹、盆腔巨大占位。PET-CT也提示恶性肿瘤的可能性,肿瘤是良性还是恶性?能不能完全切除?切除后有哪些并发症和后遗症?问题一个又一个,小洁及家属忧心如焚。

花季少女腹藏巨大肿瘤!省人民医院精心“拆弹”解难题

 

病人转入胃肠外科后,科主任廖传文立即开展全科讨论,并邀请肿瘤科、妇科及影像科MDT,争取在手术前集思广益,做好充分准备及各项预案。

经各位专家讨论:①腹腔肿瘤非常之大,最大横切面达到8.7*19.7cm,充满整个腹腔,包绕肠系膜上血管及其分支,需要在不损伤大血管的前提下切除肿瘤,并尽量保留肠管血供,手术难度非常大,风险很高;②目前不能排除恶性肿瘤的可能,如为恶性肿瘤,则预后很差,手术后生存期不长,且生活质量差;③双侧肾积水考虑为肿瘤压迫所致;④妇科会诊后暂不考虑卵巢来源肿瘤,如果术中有需要,妇科团队可以随时支援。

肿瘤巨大,如果不及时处理,后续可能出现肿瘤破裂的风险。小洁现阶段已出现肾积水,如若肿瘤继续长大,亦可能存在侵犯及压迫其他脏器的风险。即便面对重重困难,为了给小洁以希望和光明的未来,胃肠外科专家廖传文、曹虹、洪华章毅然选择迎难而上。

经过充分术前准备,2022年6月28日,手术如期进行。术中情况比预期的复杂。肿瘤与肠系膜上血管、空肠、结肠供应血管紧密粘连着,几乎无任何间隙。

花季少女腹藏巨大肿瘤!省人民医院精心“拆弹”解难题

 

花季少女腹藏巨大肿瘤!省人民医院精心“拆弹”解难题

术中情况复杂

曹虹和洪华章诊疗组齐心协力,上演了一场刀尖上的“华尔兹”,成功将肿瘤切除并保留了所有肠管血供。术中冰冻快速病理提示:考虑为良性病变!整个手术团队总算松一口气。整个手术历时3小时,术中出血约50ml,彰显了胃肠外科精湛的技术。

花季少女腹藏巨大肿瘤!省人民医院精心“拆弹”解难题

 

花季少女腹藏巨大肿瘤!省人民医院精心“拆弹”解难题

完整摘除的腹腔巨大肿瘤

由于手术进展顺利,创伤较小,保留了肠管血供,因此小洁术后第2天即已恢复肠道功能,恢复流质饮食。目前小洁病情平稳,恢复顺利,拆线后即可出院。术后正式病理提示:腹腔良性肿瘤,符合错构瘤(脉管、脂肪及平滑肌不等量增生)。

花季少女腹藏巨大肿瘤!省人民医院精心“拆弹”解难题

 

明确为良性病变后,小洁母亲心中的石头完全落地,她感慨地说:刚得知女儿病情的那一刻,感觉天都要塌下来了,毕竟女儿还这么年轻,未来还有很长的路要走,是省人民医院胃肠外科给了我们母女俩信心,勇敢面对疾病。

健康多一点:什么是肠系膜巨大错构瘤?

肠系膜巨大错构瘤是非常罕见的疾病。又称血管平滑肌脂肪瘤,并非真性肿瘤,属于一种先天性肿瘤样畸形发育,为多种分化良好的正常组织构成的混合性组织块,各种组织的比例和成分很不正常,排列也极为紊乱。可发生于人体各个部位,是婴儿时期常见的肿瘤,一般体积都较小,因此肿瘤早期没有任何临床症状,常不易被发觉,一般当肿瘤发展到腹部能够触摸肿块才到医院就诊。错构瘤不同于畸胎瘤,畸胎瘤有3个胚层组织,故有恶变可能,而错构瘤仅有单一内胚层或单一中胚层,故多为良性,极少部分为恶性。若错构瘤未完整切除,可恶变而形成未分化胚胎性肉瘤;巨大的腹膜后错构瘤伴囊变者极少见。

由于临床表现不典型,易与其他腹膜后肿瘤相混淆,诊断主要依靠辅助检查及病理。

江西省人民医院胃肠外科介绍:

花季少女腹藏巨大肿瘤!省人民医院精心“拆弹”解难题

 

江西省人民医院胃肠外科成立于1998年,目前编制床位92张,设两个病区,共有医护人员50余名,医生团队现有高级职称9人,中级职称4人,初级职称5人,其中博士2人、硕士11人、硕导3人,多人担任省内外胃肠专业组副主委、常委、委员等职务,多人有国外研修经历,诊疗水平位居江西省前列。在爱国路院区及红谷滩院区均开设专家及普通门诊。

诊疗特色:

对胃肠道肿瘤实行规范化、个体化诊疗模式,胃肠肿瘤微创、精准治疗经验丰富。年均开展各类手术1500余台,其中腹腔镜胃肠道肿瘤根治性手术每年完成500余例。积极开展各项新技术,对直肠癌低位及超低位保肛、精准保留自主神经及血管的结直肠癌手术、减孔、免切口结直肠肿瘤手术及全腔镜胃肠道肿瘤手术等具有丰富的经验,手术并发症少,远期效果好。另外,在省内较早开展了胃肠肿瘤的加速康复外科治疗(ERAS)、多学科专家组治疗模式(MDT)以及小肠减压管置入等技术、急腹症腹腔镜手术治疗(部分单孔超微创腹腔镜手术)。在护理方面,领先开展造口护理、PICC置管、输液港等优质护理。胃肠外科全体医护人员本着“以小洁为中心”的理念,用精湛的技术和优质的服务为“广大小洁”解除病痛。

联系我们:

爱国路院区住院部:南昌市东湖区爱国路92号 南楼12楼

爱国路院区联系电话:0791-86896223

红谷滩院区住院部:南昌市红谷滩新区丰和北大道266号 住院部1号楼17楼

红谷滩院区联系电话:0791-87721299

专家简介:

花季少女腹藏巨大肿瘤!省人民医院精心“拆弹”解难题

 

廖传文

江西省人民医院胃肠外科 科主任

博士、主任医师、硕士研究生导师 德国bielefeld医院访问学者

江西省保健学会胃肠外科分会 主任委员

江西省医学会外科学分会 副主任委员

江西省整合医学学会消化道微创专业委员会 副主任委员

江西省研究型医院学会结直肠病分会 副主任委员

江西省研究型医院学会胃肠外科分会 常委

江西省中西医结合学会普外专业委员会委员胃肠学组 副组长

中国医师协会结直肠专委会 腹腔镜单孔学组 委员

中华医学会外科学分会营养支持学组 委员

江西省抗癌协会大肠癌专业委员会 委员

江西省抗癌协会胃癌专业委员会 委员

擅长:胃肠道肿瘤、胃肠间质瘤规范化诊疗,以及胃肠外科常见病、多发病、急腹症诊疗,擅长胃肠道肿瘤腹腔镜微创治疗,及全腔镜胃肠道肿瘤手术,单独完成腹腔镜胃肠道肿瘤手术近千例,在直肠癌超低位保肛以及处理危重疑难病人方面具有丰富的经验。

门诊时间:爱国路院区 周三上午 ;红谷滩院区 周二上午

花季少女腹藏巨大肿瘤!省人民医院精心“拆弹”解难题

 

曹虹

原普外科主任兼胃肠外科主任

南昌大学、赣南医学院兼职教授、硕士生导师

中国研究型医院学会微创外科分会委员

江西省抗癌协会常务理事

江西省普外腹腔镜质控中心副主任

江西省抗癌协会肝癌专业委员会副主任委员

江西省研究型医院肝脏外科分会副主任委员

江西省抗癌协会胃癌专业委员会委员

江西省中西医结合普外专业委员会委员

江西省药品不良反应咨询专家

江西省晚期血吸虫病人医疗救助专家指导组副组长

《腹腔镜外科杂志》编委 《临床肝胆病杂志》编委

花季少女腹藏巨大肿瘤!省人民医院精心“拆弹”解难题

 

洪华章,副主任医师,外科学硕士,2001年毕业于四川大学华西临床医学院,2017年赴中山大学第六医院肛肠外科进修学习,2021年参与美国圣十字医院胃肠外科研修班学习。2022年省委组织部第十四批卫生人才服务团成员,景德镇市第二人民医院挂职副院长。

学术兼任:江西医学会外科学分会常委;江西省保健学会胃肠外科学分会常委,江西省医师协会肛肠医师分会常委,江西中医药学会肛肠分会常委,《中国老年保健医学》编委,中医药高等教育学会临床教育研究会肛肠分会第四届常务理事,江西医学会医疗鉴定专家库成员。

专业擅长:普外科常见病及疑难病的诊断治疗,尤其是胃肠肿瘤及腹壁疝的腔镜微创手术。在院内率先引进TST、RPH、STARR、LVR等新技术治疗各期痔病及直肠脱垂。在复杂性肛瘘、直肠周围脓肿、坏死性筋膜炎、化脓性汗腺炎、盆底肿瘤、藏毛窦、直肠阴道瘘等肛肠疾病研究较深。

门诊时间:爱国路院区 周一上午 ;红谷滩院区 周二上午

花季少女腹藏巨大肿瘤!省人民医院精心“拆弹”解难题

 

黄作喜

南昌大学 外科学硕士(胃肠外科) 中共党员

2018年赴俄罗斯巴斯基尔国立医科大学学习

江西省保健学会胃肠外科分会 委员

江西省整合医学会肥胖和代谢外科学分会 委员

江西省整合医学会消化道微创青委会 委员

福建协和医院腹腔镜胃癌手术高级研修班 学员

擅长:胃肠外科常见疾病的诊疗,肛肠常见疾病的诊疗等

门诊时间:红谷滩院区 周二下午

 

转自丨江西省人民医院胃肠外科微信公众号

编辑丨陈雨曦 杨岚 龙雨

审核丨罗昭淦

终审丨乐熙文



版权所有:江西省人民医院  通讯地址:南昌市爱国路152号  邮政邮编:330006 网站投递邮箱: jxphxc@163.com
   咨询电话:0791-86895550 传真:0791-86895863  赣ICP备12006239号-1  洪卫网审【2014】第10号
您是本站第:677624 位访问者!