|
|
|
| 开年第一“夹”:省心血管病医院开展一例二尖瓣缘对缘修复术 |
| 发布日期:2023-01-30 15:19 信息来源:未知 作者:admin 访问次数:
|
|
2023年1月15日,星期日,南昌也迎来了2023年的第一场雪,江西省人民医院(南昌医学院第一附属医院)副院长、省心血管病医院院长洪浪团队成功为一名二尖瓣脱垂患者开展了二尖瓣缘对缘修复术,让南方传统小年夜变得不同寻常。
66岁的王女士(化名),反复活动性胸闷气促1年多,加重10余天入院,主要表现为活动耐力下降,稍重体力活时即感有气促胸闷不适,既往有多年的高血压病基础病史。外院诊断为心脏瓣膜病,建议外科手术治疗,但患者及家属未同意。查体:血压153/104mmHg,二尖瓣听诊区可闻及4/6级收缩期杂音并向腋下方向传导。心脏超声提示二尖瓣脱垂并重度关闭不全。食道超声评估提示:二尖瓣脱垂,主要累及P2区并重度关闭不全,二尖瓣部分连接腱索断裂。经心内科、超声科、麻醉科等多学科讨论,有二尖瓣缘对缘修复术指征,无相关禁忌症。由于已近春节,洪浪决定在节前加班完成手术,满足患者及家属能赶回家过年的愿望。
术前经胸心脏超声
术前心脏食道超声
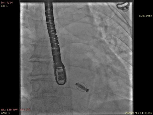
2023-1-15全麻下安排行二尖瓣钳夹术,术中首次使用国产端佑Neonova二尖瓣夹合系统,成功捕获瓣叶,予以夹闭后反流达到极微量反流。
右起:方哲、洪浪、顾平、曾洪、王晶、金佳俊
王女士术后恢复良好,第二天即下床自由活动,完成心脏彩超复查结果良好,顺利在1月19日办理出院手续。
术后经胸超声
二尖瓣疾病的介入治疗可追溯至1987年,江西省人民医院李华泰主任医师在全国率先开展二尖瓣球囊扩张术,洪浪主任医师更是创下“二尖瓣球囊扩张术仅耗时8分钟”的难以超越记录。随着介入技术的革新及发展,目前包括二尖瓣、主动脉瓣、外科生物瓣衰败等瓣膜疾病均可通过介入微创治疗。而二尖瓣相对主动脉瓣具有结构复杂、变异性大、难度高等特点,增加了手术的不确定性。
江西省心血管病医院正在招募二尖瓣关闭不全患者,如条件合适,可免器械费为其实施二尖瓣缘对缘修复术,为越来越多的老年瓣膜病,特别是外科手术高风险患者带来了福音。
文图丨心内十区 曾洪
|
|
 |
|