结石已经越来越成为常见病
体检报告里的小结石很容易被忽视
只要不发作
很多人就当没事
“忍一忍也能过去”
前两天
尿频、尿急、尿痛、血尿
被结石折磨十几年
终于鼓起勇气就医的92岁孔大爷
卸下了几乎占满整个膀胱、重约490g的大型结石群
十几年的噩梦
一场手术解决了
2022年12月2日,南昌人孔大爷高高兴兴地出院了,江西省人民医院(南昌医学院第一附属医院)泌尿外科贾灵华团队为92岁的孔大爷成功实行耻骨上膀胱切开术取石术,取出了“藏在”他膀胱内十几年的巨型结石,数量多达15颗,较大的结石直径达7cm,比鹅蛋还要大,总重量达接近1斤(490g),实属罕见。
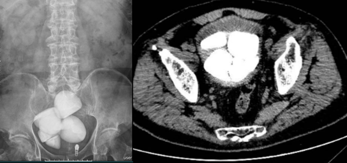
术前的腹部平片及CT检查影像
孔大爷十几年来反复出现尿频、尿急、尿痛,伴肉眼血尿,近1年来症状越来越严重,生活受到很大影响。通过朋友介绍后找到贾灵华求医,入院完善相关检查后确诊为膀胱多发巨大结石。
贾灵华介绍,随着医疗技术的飞速发展,我们现在绝大部分结石手术都可以通过微创手术取出,传统的开放手术已做的非常少。由于多年的尿频尿急排尿困难的折磨,孔大爷身体消瘦、精神不佳,还合并有复杂尿路感染、尿失禁等问题。CT提示患者的结石占据了整个膀胱,结石体量巨大。面对如此复杂、巨大膀胱结石患者,泌尿外科贾灵华团队联合麻醉师、心内科专家一起就手术及麻醉方案进行了详细讨论,同时也进行充分的术前检查和术前准备,做好各类可能出现的意外及救治措施,一致认为不适合微创手术,因为微创手术耗时长,高龄患者身体状况较差,基础疾病较多,身体耐受力差,可能无法耐受如此长时间的麻醉,最终一致同意采取耻骨上膀胱切开取石术,争取以最短时间、最小创伤取出患者的膀胱结石,力求将手术风险降到最低。
取出的膀胱结石
通过术前抗感染等充分准备后手术如期进行,手术由贾灵华主刀,在麻醉科、手术室的精心配合下,手术过程行云流水,麻醉平稳,仅用40分钟就顺利取出膀胱内结石,总计15颗,较大者约7cmx5cm,困扰孔爷爷多年的“老毛病”一朝得以解决。看到取出的巨型膀胱结石,参与手术的全体医务人员也感到惊奇,惊讶于一个膀胱竟能够藏这么多结石,也感叹孔大爷这些年真是不容易啊。术后患者恢复良好,尿液清亮,孔大爷也终于露出了久违的笑容,生活质量得到了极大改善,患者及家属对全体医护给予了较高的评价。
随着人口老龄化进展,90岁以上高龄患者在我院泌尿外科手术已较为常见,近半年,贾灵华团队已为多位高龄患者行微创手术处理泌尿系结石及肿瘤,手术均非常成功,达到满意效果。手术的成功,除得益于患者对医生的充分信任和过硬的医疗技术,老人及家属的乐观的心态同样起着重要作用。贾灵华谈到,老龄患者比例越来越大,老年患者的生活质量也应该越来越重视,患有疾病的高龄患者应该积极就诊治疗,不必过于恐惧。江西省人民医院长期肩负着全省人民的保健工作,对于提高老年患者的生活质量,我们一直在努力和进步。
健康科普 膀胱结石知多少
贾灵华介绍到,膀胱结石好发于老年男性患者,一般男女发病之比为10:1。男性随着年龄的增长,前列腺增生发病率逐年增高,前列腺增生导致膀胱内尿液排出不畅,长此以往膀胱内尿液混浊、杂质增多,引起老年男性泌尿系感染。若感染时间过长,膀胱内杂质聚集,易形成膀胱结石。与膀胱结石最相关的症状是尿频、血尿(通常是终末期)和排尿困难或耻骨上疼痛,这在排尿结束时最严重。突然的运动和运动可能会加剧这些症状。在超过三分之二的膀胱结石成年男性患者中发现逼尿肌过度活动,在结石较大(> 4 cm)的患者中明显更常见。
膀胱结石对身体可能产生巨大危害。常见的危害主要有以下四个:一是有明显的感染症状,表现为严重的尿频、尿急、尿痛和膀胱尿路刺激症状;二是会引发严重的血尿,长时间的血尿和感染会形成体质弱、休克甚至贫血严重的情况;三是影响上尿路,引起膀胱输尿管返流、肾积水,造成肾功能不全,甚至出现尿毒症危及生命;四是容易出现膀胱内或者尿道内的鳞癌化。
预防膀胱结石主要有以下4点:
1.大量饮水是防治各种成分膀胱结石最简单而有效的方法,多喝水能够使尿液稀释不浓缩,减少尿盐沉积的机会。防止高浓度的盐类及矿物质聚集成结石。一般来说合适的饮水量是保持每日尿量在2.5升至4升左右(对于常见的500 毫升的矿泉水,要5-8瓶的量)。另外,以上饮水建议的前提是,心功能和肾功能尚正常。
2.治疗引起膀胱结石的疾病,如根治泌尿系统的感染、解除泌尿系的梗阻,膀胱炎、前列腺增生、膀胱痉挛等。
3.避免憋尿,特别是老年人,要适当增加排尿次数,每次排尿要尽量排空,不使尿液在膀胱潴留,以减少感染的机会。
4.调节饮食:结石术后建议患者行结石成分分析,可以明确结石的具体类型,有助于更好的预防结石发生。应根据膀胱结石成分适当调节饮食,如患草酸盐结石病人要少吃菠菜、土豆等;磷酸盐结石病人宜进食低磷酸钙饮食,并应设法使尿液酸化,以利于磷酸盐的溶解;患尿酸盐结石者,宜少吃动物肝、肾及豆类食物。
专家介绍

贾灵华,医学博士,江西省人民医院泌尿外科教学主任,副主任医师,中共党员,硕士研究生及规培导师,泌尿外科诊疗组长,省委组织部人才服务团成员,英国York Teaching Hospital访问学者。长期致力于泌尿外科临床研究工作,对泌尿外科常见病、多发病的诊治有丰富的临床实践经验。担任江西省保健学会泌尿外科学分会副主任委员、江西省抗癌协会泌尿男生殖系肿瘤专业委员会常委、江西省抗癌协会泌尿男生殖系肿瘤青委会副主任委员、江西省研究型医院学会泌尿系结石分会常委、江西省医学会泌尿内镜学会委员、江西省医师协会泌尿外科学医师分会委员、江西省研究型医院学会泌尿外科学分会委员。第一作者在《中华泌尿外科杂志》、《中华腔镜泌尿外科杂志》和《临床泌尿外科杂志》等国家级核心期刊发表学术论文11余篇,其中SCI 4篇。主持、参与省、市级课题6项。
专业擅长:泌尿系肿瘤的机器人辅助腹腔镜技术及全程管理;泌尿系结石的微创及个体化治疗;前列腺增生的微创手术及规范化治疗;泌尿系统疑难疾病的诊治。
专家门诊时间:每周一上午爱国路院区,每周一下午红谷滩院区
文图丨泌尿外科 夏坤
编辑丨吴伊宁
审核丨罗昭淦
终审丨乐熙文
|