|
|
|
| 江西省人民医院开展首例超声引导定位下肋骨骨折微创手术技术 |
| 发布日期:2023-11-24 11:23 信息来源:未知 作者:admin 访问次数:
|
|
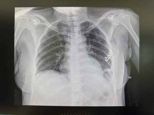
近日,江西省人民医院(南昌医学院第一附属医院)胸外科成功开展首例超声引导定位下肋骨骨折切开复位钢板内固定术,为肋骨骨折术前精准定位开创先河。
吴女士(化名)因车祸致头面部、胸部等多处受伤,胸部CT提示:左侧多发肋骨骨折,有明确手术指征。
胸外科主治医师彭雷根据超声定位精准设计手术方案,以小切口、小创伤、较优手术路径行肋骨骨折内固定术,手术耗时少,过程顺利,为术后快速康复奠定了基础。11月23日,吴女士术后7天便康复出院。相较于传统手术治疗方式,缩短了住院周期,具有手术切口小、恢复快、痛苦轻等特点。
胸外科主任徐全介绍说,这是江西省人民医院首次开展超声引导定位下肋骨骨折切开复位钢板内固定术,提高了手术精准度。标志着医院胸外科在精准、微创方面迈上新台阶。
医学科普
肋骨骨折是较常见的胸部创伤,关于肋骨骨折的检查,不论是广大患者还是临床医师首先想到的当然是X线。近年来,随着CT技术和超声技术的日趋成熟,肋骨超声已逐步成为临床确诊隐匿性肋骨骨折新兴的、有效的手段。尤其对于肋软骨骨折的患者,由于X线和CT不显影,MRI价格更贵、预约时间长,肋骨超声检查几乎是首选的方便、有效、快捷的影像学检查手段。
超声在隐匿性骨折检查的优势包括以下几个方面:
1.超声医师可以对患者面对面问诊,了解受伤的过程,精确了解疼痛点,从而对疼痛部位进行反复扫查。
2.超声仪器的高清化,使超声对浅表组织的显示达到了前所未有的高度,可以清晰地显示0.2mm左右的极微小肋骨骨折、骨裂。
3.超声对肋软骨可以较好地显示,弥补了X线及CT对肋软骨不能显示的短板。随着超声仪器的小巧化,让野外超声诊断肋骨骨折成为可能。
文图/胸外科 张青万
编辑/罗青霞
主编/乐熙文 罗昭淦
监制/钭方芳
|
|
 |
|