|
|
|
| 发布日期:2021-05-26 16:05 信息来源:省心血管病医院三科 作者:袁莉华 访问次数:
|
|
“镜面人”又称“镜像人”,即心脏、肝脏、脾脏、胆等大器官的位置与一般人相反,本应在某一侧的器官生长在了对侧,正面摄片就好像是正常脏器的镜中像。其发生几率大约为百万分之一,一旦需要手术治疗其中的风险与难度将成倍的增加。
2021年5月5日,江西省心血管病医院心律失常科就收治了这样一位“镜像人”房颤患者。由于体内脏器位置与常人完全相反,给手术带来了挑战:主刀医生必须时刻谨记脏器是反方向的,操作中需逆向思维,防止一不留神按常人动手术酿成错误乃至事故。
病例资料:
丁先生今年65岁,来自江西省丰城,因反复心慌、心悸前来省医就诊,每次发作时间半小时至2小时不等,既往有冠心病、糖尿病史。
入院后,经管医生刘燕锋博士询问病史的同时,安排了心血管规培医生做心电图检查,心电图打印出来后,规培医生很惊讶,立即请教刘燕锋老师:这个病人的心电图很奇怪,是怎么回事呢?刘燕锋看过后交代他将心电图所有的导联反着接,再做一次看,规培医生马上反应过来了:这是一位特殊的右位心患者。
【心电图检查】
心电图诊断:镜面右位心、阵发性心房颤动
恢复窦性心律时的心电图
【影像检查】
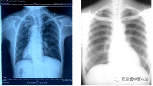
特别的右位心摄片 正常左位心摄片
结合这些检查资料,丁先生被诊断为:阵发性心房颤动,镜面右位心。
丁先生在反复发作心房颤动时症状非常明显,且药物治疗效果不明显,为了减少出现脑卒中和出血的风险,最好的治疗方案只能选择房颤的射频消融治疗。但患者是个右位心,手术时所有的操作将会与正常心脏(左位心)不一样,无疑增大了手术操作的难度。
为防止术中出现卒中的可能,同时需术前评估左心耳及左心房的情况,必须搞清楚房颤患者心房是否出现血栓,食道超声检查显得十分必要。可该患者却无法耐受食道超声。刘燕锋向患者及家属建议,只能选择在术中使用超声导管,通过超声导管,一可以检查病人左心耳及左心房有无血栓;二可以指导房间隔的穿刺,由于右位心患者与正常人不同,使用超声导管协助手术可以降低手术难度,保证手术安全;三是术中可以实时监测心包有无积液。
手术过程:
2021年5月7日上午,在省心血管病医院副院长赖珩莉主任医师的带领下,刘燕锋副主任医师在局麻下给予患者行心脏射频消融术。
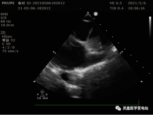
术中超声检查左心耳
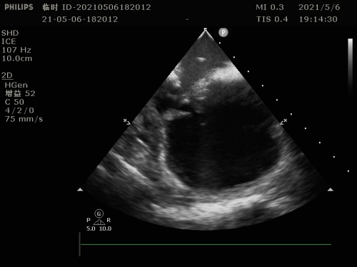
镜面转位后,术中房间隔穿刺
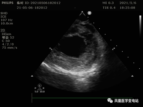
术中心包监测
术中左房手术模型
整个手术持续2个小时,术后患者恢复良好,心电图恢复窦性心律,心慌心悸的症状明显缓解,于术后第三天康复出院。
刘燕锋博士
刘燕锋博士说,“镜面人”虽然五脏六腑全部错位,位置发生变化,脏器之间的相互关系并未改变,因此生理功能与正常人一样,对平时的健康、生活没有太大影响,但会带来一些麻烦。比如,“镜面人”如果右下腹疼痛,医生按正常情况判断可能会怀疑是阑尾炎,但对“镜面人”来说这个医学常识就不灵了,如果按照常规判断,极有可能发生误诊。
赖珩莉主任医师强调,房颤患者卒中的发生率是正常人的5倍以上,通过消融治疗恢复正常的窦性心律,能够有效减少房颤导致的卒中以及心衰发生。
专家门诊信息
赖珩莉主任医师:周一上午红谷滩院区、周二下午爱国路院区
|
|
 |
|