欢迎您访问江西省人民医院,本站祝您身体健康!今天是: 预约挂号 | 设为首页 | 加入收藏
站内搜索: 热门搜索:
就医指南
预约诊疗 门诊安排 就诊流程
医保新农合 住院须知 查询服务
 
交通方位 健康体检  
 
  江西省人民医院 > 新闻中心 > 科技新闻 >
排除人体“定时炸弹”!省心血管病医院救治一例复杂高危巨大腹主动脉夹层动脉瘤患者
发布日期:2021-08-23 11:48    信息来源:心内九科    作者:彭丽敏 曾圣强    访问次数:
  2021年8月11日,江西省人民医院-省心血管病医院九科成功救治一例复杂高危的巨大腹主动脉夹层动脉瘤患者,患者已于16日顺利出院。
  68岁的陈先生4年前无明显诱因出现反复胸闷痛不适,呈阵发性,每次发作持续约数分钟,与活动无明显相关,症状向背部及肩部放射,近日发作频繁而入院。
  陈先生的病史较复杂,高血压19年,冠心病支架术后4年,有肺结核病史,小儿麻痹症病史。腹主动脉彩超提示有腹主动脉夹层动脉瘤合并夹层内血栓形成,急诊胸腹主动脉血管造影显示:腹主末端动脉瘤(肾动脉下型),大小约7.8×7.2×10.6cm,伴附壁血栓形成,考虑为少见的内膜滋养血管破裂导致的腹主动脉夹层动脉瘤。也就是说,陈先生的肚子里主动脉上附着了一个成人拳头大小的“炸弹”,随时会爆炸导致生命危险。


主动脉CTA图像,瘤体大小约7.8×7.2×10.6cm主动脉CTA图像,瘤体大小约7.8×7.2×10.6cm
 
  考虑到瘤体巨大,病情危重,医护人员立即予以降压、控制心室率治疗。
  病区负责人欧阳长生组织团队讨论、评估术中风险及手术的方案制定,并根据患者主动脉CTA图像仔细测量主动脉瘤体参数,精准找出符合陈先生的主动脉覆膜支架规格。


欧阳长生医疗团队手术中

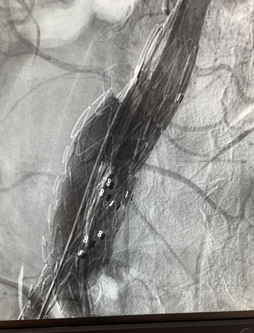
主动脉覆膜支架主体髂支衔接术中影像图
 
  8月11日,欧阳长生为陈先生开展介入治疗,在DSA透视下反复确认支架主体释放位置后逐步释放支架系统,待左侧髂支完全释放后,再次经右侧髂动脉鞘管送入髂支分支支架,并精准于主动脉支架主体髂支衔接后稳定释放,最终实现主动脉瘤体的完全隔绝。术后造影显示瘤体完全封闭,双侧肾动脉及髂动脉血流未受到影响,手术顺利。因肾动脉血流未受影响,进一步提升了患者的生存质量。


术后造影
 
  延伸阅读:
  主动脉夹层动脉瘤是一较为少见的致命性疾病,并非肿瘤性疾病。它大部分是由于血管管壁局部弹力下降或创伤、感染等因素导致血管管壁局部张力降低,因血管内膜破裂后,由于高压血流不断冲击使内膜剥离扩展延长,主动脉形成真、假腔,导致局部膨出成瘤,严重者动脉瘤破裂危及生命。少数主动脉夹层无动脉内膜裂口,可能是由于中层退行性病变灶内滋养血管的破裂引起壁内出血所致。
  只要发现腹主动脉瘤,就相当于带上一个“不定时炸弹”,随时随地可能破裂要命。这种病早发现、早治疗很重要,在破裂之前就医是关键。
  那么如何排除患者肚子里的这颗“定时炸弹”呢?
  江西省心血管病医院在院长洪浪带领下,采用了近年来发展迅速的微创技术——腹主动脉腔内隔绝术,“创伤小,恢复快”,就是将覆膜支架导入腹主动脉,膨胀后将腹主动脉瘤与血管腔隔绝,促使其逐渐机化、缩小,从而消除瘤体破裂、出血的隐患,达到治愈的目的。
  欧阳长生副主任医师提醒广大患者:腹主动脉瘤在形成初期十分隐蔽,患者不会感觉到任何症状,但随着它的慢慢增大,患者可以自己在肚脐周围摸到与心跳频率一致的跳动的肿块,因此这个瘤也被称作“会跳的肿块”“搏动性肿块”,较严重的会有一些症状。如:
  一、疼痛症状:腹部脐周、两肋部或腰部,疼痛的性质可为钝痛、胀痛、刺痛或刀割样疼痛;
  二、压迫症状:压迫肠道导致腹胀不适,食欲下降、恶心呕吐、压迫输尿管导致尿少,肾积水,压迫胆管导致黄疸、肝区不适、厌油腻食等。
  当出现以上情况时,患者应及时就医检查。
 
  温馨提示:
  就诊地址:江西省人民医院-省心血管病医院九科(爱国路院区)南楼14楼,联系电话:0791-86896218
  专家门诊安排:
  洪浪主任医师:周一上午 红谷滩院区门诊2楼,周二上午 爱国路院区门诊4楼
  欧阳长生副主任医师:周四下午 爱国路院区门诊4楼
  陈章强主任医师:周二下午 爱国路院区门诊4楼,周三下午 红谷滩院区门诊2楼
  交通路线:
  乘坐地铁2号线至阳明公园站下,或者乘坐33路,3路,4路,2路,7路,8路,12路,17路至江西省人民医院站下即可达到。


版权所有:江西省人民医院  通讯地址:南昌市爱国路152号  邮政邮编:330006 网站投递邮箱: jxphxc@163.com
   咨询电话:0791-86895550 传真:0791-86895863  赣ICP备12006239号-1  洪卫网审【2014】第10号
您是本站第:677624 位访问者!