|
|
|
| 发布日期:2022-11-09 17:43 信息来源:未知 作者:admin 访问次数:
|
|
近日,70多岁的张先生术后一个月来江西省人民医院(南昌医学院第一附属医院)复查,复查结果非常满意,他激动地抓着肿瘤科曾麟主治医师的手说道:“感谢江西省人民医院给我提供这个创伤小、费用低的微创治疗手术,万分感激!”
到底是什么技术这么“神奇”?让我们来进一步了解。
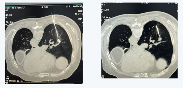
3年前张先生在外院诊断为左侧肺癌并行手术切除治疗,今年6月复查后发现右肺下叶又出现一个约1*0.8cm的肺结节,考虑复发可能性大。由于该肿块体积较小,位置比较深,且周围血管丰富,穿刺活检难度较大,建议张先生手术探查。因张先生术后肺功能较差,且合并多种基础病,拒绝进一步手术。
经了解,曾麟团队有丰富的经皮穿刺活检经验,至今已成功进行上千例各种高难度穿刺活检,故张先生慕名来我院就诊,经过仔细阅片及团队多次讨论后,曾麟在CT引导下行经皮穿刺,在毫厘之间避开数根肺内血管,一针到位,成功取到病理组织,最终病理结果证实是肺腺癌。根据患者病情为其采用经皮微波消融术,该手术创伤小,时间短,手术前后不到20分钟,张先生当晚即可下地行走,术后5天出院。在术后一个月复查时,PET-CT显示整个术区肿瘤活性完全消除,达到局部根治的效果,张先生和他的家属非常满意。
曾麟表示,医学的进步为肿瘤疾病患者提供了更多的治疗方案,有效地提高了患者的生存率。微波消融术具有创伤小、手术时间短、术后恢复快等优势,对一些不能手术或者不愿手术的患者来说,是非常有效的减瘤治疗手段,并且它还适用于甲状腺、乳腺、肝脏等实性脏器中的结节性病变,自2021年1月我科开展微波消融术治疗以来,已成功为60多例患者进行治疗,效果非常好,得到了广大肿瘤患者的肯定。
仁医科普丨微波消融术
微波消融术治疗是临床上常用的微创治疗方法之一,作用机制是以微波电磁场产热而使局部细胞组织坏死。其原理是在微波电磁场的作用下,组织内的水分子、蛋白质分子产生高速振动,分子之间的相互碰撞、摩擦,在短时间内产生60-150℃的高温,使细胞发生凝固性坏死,从而破坏病灶。微波消融术是利用微波的能量损毁结节性病灶,使之坏死、碳化,再经过一段时间,碳化的结节逐渐吸收,最后消失。
专家介绍

曾麟
医学硕士
肿瘤科主治医师
江西省研究型医院学会肺部肿瘤分会青委会副主委,江西省研究型医院学会肺部肿瘤分会常委,江西省肿瘤康复专业委员会委员,江西省青年委员会委员,华人肿瘤放射治疗协作组食管癌工作委员会委员,医院优秀中青年骨干医师。
擅长:肺小结节、微小结节及各种高难度肿瘤的经皮穿刺活检诊断技术、肿瘤的精准微波消融技术、粒子植入技术。至今已成功行经皮肺穿刺及其他部位肿瘤穿刺活检1000余例。
科室介绍
江西省人民医院肿瘤科始创于20世纪90年代,是江西省最早成立的肿瘤专业临床科室之一,在院领导的大力支持及学科带头人姚伟荣的带领下,肿瘤科坚持以医疗质量为核心、以医疗服务为根本,精诚为患者服务,是我省重要的临床肿瘤诊疗、教育和研究中心,是国家临床药师培训基地,南昌大学硕士培养点,国家药物临床试验基地,国家临床医师规范化培训基地。
2020年以来,科室实施大整合,在各科亚专业化发展的大背景下,由肿瘤科倡议发起并相继成立了江西省人民医院乳腺肿瘤MDT、胸部肿瘤MDT、胃肠肿瘤MDT、头颈肿瘤MDT和肝胆胰腺MDT团队。这为规范肿瘤患者诊治、加强学科间协作、提高团队诊治水平、建立全程管理及保障患者安全奠定了坚实的基础。开放床位270张,拥有4个病区(2个胸部肿瘤病区、1个胃肠肿瘤病区、1个头颈乳腺病区)及放疗机房。
肿瘤科将秉承“德高术精,务实创新”的发展理念,“患者是我亲人”的服务精神,力求做到“科学,规范,精准,合理”。
肿瘤二区:86891315
肿瘤三区:86892280
肿瘤四区:86895615
肿瘤五区:86895610
肿瘤科放疗室:86895713
文图丨肿瘤科 卢倩 邓旋
编辑丨罗青霞
审核丨罗昭淦
终审丨乐熙文
|
|
 |
|