腰椎间盘突出、腰椎管狭窄、颈椎病等脊柱疾患是骨科最为常见的疾病,也是很多中老年人最为头痛的顽疾。因其发病率高,而传统手术创伤较大、风险大,故此让很多罹患疾病的患者讳疾忌医。所以近年来,脊柱微创技术越来越多地得到患者及医生的青睐。
2012年,江西省人民医院(南昌医学院第一附属医院)骨科主任陈钢教授率先在我省开展微创通道下经椎间孔入路腰椎椎间融合术(MIS-TLIF)手术,此后脊柱微创技术在我院蓬勃发展。2022年,骨科一区李宇旭副主任医师开展院内首例UBE(单侧双通道)脊柱微创手术以来,其已经通过此项微创新技术为数十位患者解除了病痛。相比以往的手术技术,UBE技术不但具有内镜手术的微创特点,而且具有和传统开放手术相当的适用范围,手术效率高,能解决以往大部分传统手术才能解决的较重的脊柱疾病,尤其适用于因年龄较高、基础疾病较多而无法耐受手术的患者。
常规腰椎融合手术切口 UBE技术腰椎融合切口
病例一
70岁的胡大娘是位多年的帕金森疾病患者,且伴有脑梗、高血压、骨质疏松病史,曾行甲状腺、白内障及股骨骨折手术,4年前因为腰椎间盘突出而在外院行腰椎手术,1年前再次出现双下肢疼痛、间歇性跛行,入院前一次仅能行走10~20米。因年龄较高、身体差且基础疾病多,胡大娘曾至多家医院求治被拒,几经波折、转战多地,胡大娘找到了李宇旭医生,经详尽、细致地诊断,胡大娘被确诊为原腰椎手术临近节段腰椎管狭窄,需手术治疗。传统翻修手术创伤大、风险高,病人家属亦难接受;患者椎管狭窄严重,且原手术区域附近粘连较重,多数微创手术方式难解决问题。经详尽周密地准备,李宇旭医生决定为胡大娘实施UBE微创手术。手术顺利,术后患者下肢疼痛消失,第三天,胡大娘及家人开心地办理了出院。
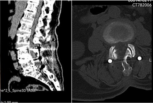
患者胡某术前影像
UBE椎管减压术后小切口
UBE椎管减压术后影像显示椎管双侧减压充分、关节突保护良好
病例二
37岁的周先生是位尿毒症患者,疾病的折磨让这个本该血气方刚的年轻人变得弱不禁风,可屋漏偏逢连夜雨,腰椎间盘突出再让他羸弱的身体雪上加霜,因为腰腿痛,他甚至无法正常行走,疼痛严重影响着他的生活。患者基础疾病较重,对其而言,传统手术风险大。经仔细评估,李宇旭医生决定为患者实施UBE内镜下腰椎融合手术,手术非常顺利,术后患者下肢疼痛消失,如期恢复,术后第2天下床活动,术后3天即出院,周先生又像从前一样健步如飞了。
李宇旭医生为患者手术
内镜下可见软骨终版相比传统手术处理更彻底
内镜下清晰可见神经根及融合器,手术安全有保障
术后影像显示融合器内固定位置良好
骨科一区在陈钢主任的带领下常规开展各类脊柱微创技术,像胡大娘、周先生这样的患者只是我院脊柱病区众多康复患者中的一小部分,“UBE”脊柱微创技术为这些高龄、重症患者提供了更为安全、微创的手术方式,带来更满意的疗效,也为广大脊柱疾病患者提供了更为丰富的治疗选择。
专家简介

陈钢
骨科行政主任,博士、主任医师、硕士生导师
擅长脊柱的创伤、肿瘤、畸形和退行性变疾病,尤其是脊柱侧弯、脊柱后凸畸形等高难度手术,目前完成此类手术例数及难度属江西省领先,并且同时对脊柱的微创治疗经验丰富;对关节置换、复杂骨盆创伤等有丰富的临床诊治经验。
门诊时间:周一上午(红谷滩院区),周三上午(爱国路院区)

李宇旭
骨科脊柱病区诊疗组组长,副主任医师,博士在读
擅长脊柱畸形、脊柱退变及脊柱创伤疾病的诊治,在颈椎、腰椎疾病的诊治及微创手术治疗方面有独到的见解,拥有大量的脊柱侧路、后路等各类脊柱内镜手术经验,2022年于我院首次开展“UBE”脊柱微创技术,并将其广泛应用于腰椎间盘突出髓核摘除、腰椎椎管狭窄减压、腰椎椎体融合等脊柱手术,取得了良好的疗效。
门诊时间:周五下午(红谷滩院区)
文图丨骨科一区 闵欢
编辑丨杨岚
审核丨罗昭淦
终审丨乐熙文
|