|
|
|
| 仁医病例丨为高龄患者带去生命希望:切除复杂黏连腹腔肿瘤 |
| 发布日期:2023-03-29 16:19 信息来源:未知 作者:admin 访问次数:
|
|
2023年3月14日,肝胆外科负责人徐志丹主任医师带领医疗团队成功为一名疑难病高龄患者实施手术,展现了我院外科医务工作者医者仁心、医德高尚。
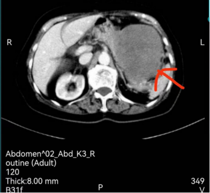
宋奶奶今年已82岁高龄,于2023年3月2日入住江西省人民医院(南昌医学院第一附属医院)肝胆外科。入院诊断为腹腔肿瘤、腹腔粘连、肝囊肿、单纯性肾囊肿、残胃炎及肺部阴影。她有过三次手术史,分别是胃切除术、胃结石取出术、胆囊切除术,由于食欲不振,精神萎靡,年纪大不肯去医院治疗。家属带她去体验时发现腹腔内有肿瘤,肿瘤位于腹膜后,直径达15cm,毗邻胰腺和脾脏,向上压迫胃,与脾血管、右侧肾血管关系紧密,手术难度非常大且复杂。
家属考虑患者年纪大、家庭经济状况不佳,犹豫不决,一度想放弃手术。徐志丹向患者家属详细了解病史及家庭状况,组织邀请肿瘤科、CT室、麻醉科、神经内科、泌尿外科、胃肠外科MDT会诊。完善各项检查,准备充分后于3月14日在全麻下行开腹控查术+腹膜后肿瘤切除术+脾切除术+大网膜清扫+肠粘连松解术,术中发现网膜及肠道与腹壁广泛粘连,肿块表面与网膜及肠道粘连致密,肿块下级与脾动静脉粘连紧密。徐志丹团队用精湛的技术完成手术,手术历时4小时,出血仅100ml。术后患者生命体征平稳,在护士长付文兰带领的护理团队精心护理下恢复良好,3月27日康复出院。
患者及家人对省人民医院医疗团队的高超医术和认真细致的工作作风赞不绝口。患者本人向肝胆外科全体医护人员表达谢意时说:“给了我又一次生命。”
文图丨肝胆外科 张祖英
编辑丨邓潇
审核丨罗昭淦
终审丨乐熙文
|
|
 |
|