|
|
|
| 仁医新术丨江西省人民医院完成全省心血管内科首例“绿色”经导管PFO封堵术 |
| 发布日期:2024-01-28 17:46 信息来源:未知 作者:admin 访问次数:
|
|
2024年1月19日,江西省人民医院(南昌医学院第一附属医院)——江西省心血管病医院负责人、常务副院长赖珩莉带领蔡新勇团队、邵靓团队与超声影像科主任医师顾平率先在省内心血管内科开展经胸心脏超声引导的经导管PFO(卵圆孔未闭)封堵术,标志着我院在卵圆孔未闭介入数字化诊疗领域再上新台阶。本项目在江西省重点研发计划“全息心脏介入导航和精准定位下完成”,项目主要负责人为蔡新勇、邵靓、詹宇亮等人。
病例介绍:
患者,女,51岁,因反复头晕2年入院。有高血压病史,药物治疗头晕改善不明显,头颅MRI提示脑白质高信号影1级,头颅MRA未见明显异常,发泡试验阳性,食道彩超➕右心声学造影阳性(瓦氏动作下3级),卵圆孔未闭宽约3.6mm,重叠长度约11mm。经神经内科会诊,患者头晕、脑白质高信号影与卵圆孔未闭密切相关,有明确的封堵适应症。
术前,赖珩莉、蔡新勇、顾平组织团队医生共同讨论分析患者心脏超声特点,预演手术流程,评估术中可能出现的各类突发状况,并制定相应的应急预案。
此次手术从导丝穿刺房间隔到封堵器释放,全程在彩超引导下进行。封堵器释放后,彩超提示封堵器形态良好,行牵拉试验示封堵器结实固定于房间隔处后,完美释放卵圆孔封堵器,术后头晕明显改善,第2天好转出院。
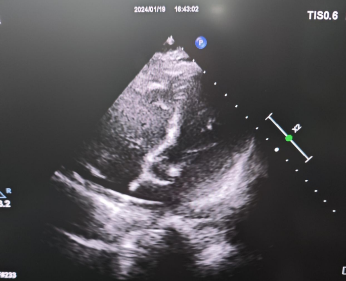
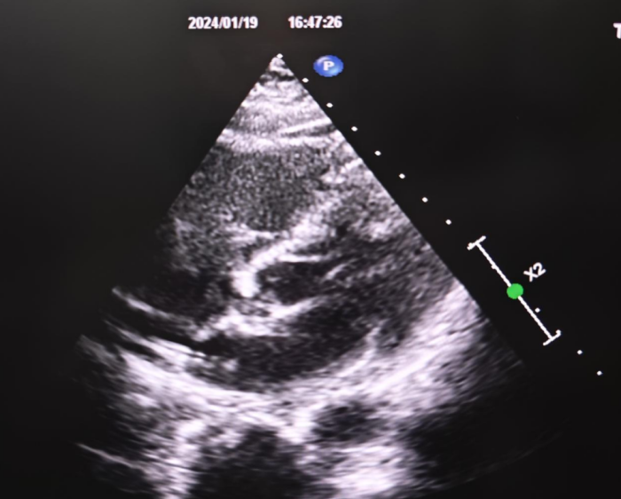
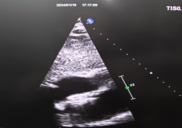
术中,手术团队与超声团队密切配合

导丝通过PFO进入左房

输送鞘进入左房

封堵器释放,贴壁良好
目前,经胸心脏彩超引导下的卵圆孔未闭介入治疗已经成为该领域的重要发展方向。心脏彩超可在术中全程、实时、精准呈现心脏内部结构,精确指导器械到达靶部位,实现瓣膜及结构性心脏病介入手术“不开胸、无放射线”治疗,大大提高了手术成功率,有效缩短患者住院时间,真正的做到保护医患、减少创伤、节约费用。
省心血管病医院将以解决临床实际问题为导向,加强临床诊疗技术创新,通过数字化和智能化医疗为省内外心血管疾病患者带来更优质、高效的医疗服务。
卵圆孔未闭(PFO)
卵圆孔是心脏内的一个小洞,位于心脏上方2个心房之间。胎儿时期,右心房与左心房之间存在开口是正常情况,血液可以从右心房流向左心房。出生后,婴儿不再需要右心房与左心房之间的开口,大多数婴儿的开口会在出生后不久自行闭合。若右心房与左心房之间的开口在出生后3岁以上仍未闭合,则称为卵圆孔未闭,简称PFO。PFO非常常见,每4人中约有1人存在PFO。
国外研究发现偏头痛患者卵圆孔未闭的发生率为30%-40%,有先兆的偏头痛患者更是高达48%-70%,是正常人群的2倍多。卵圆孔未闭引发的最常见疾病是神经系统疾病,如反复发作的头痛、头晕,不明原因的脑梗、晕厥。其最突出的危害是系统“反常栓塞”现象。卵圆孔未闭与不明原因脑卒中、偏头痛、晕厥、阻塞性呼吸睡眠暂停综合征、斜卧呼吸—直立型低氧血症、减压病密切相关,甚至会造成心肌梗死、肺栓塞。当出现脑卒中、偏头痛、晕厥、减压病等并发症的卵圆孔未闭,可以行卵圆孔未闭封堵术。
目前卵圆孔未闭介入封堵术式主要有三种:1.DSA引导下卵圆孔未闭封堵术;2.全麻经食道彩超引导下卵圆孔未闭封堵术;3.局麻经胸彩超引导下卵圆孔未闭封堵术。
第一种是目前的主要术式,但术中患者及术者均需暴露于X射线下,并且接受的射线量与术者的熟练程度及卵圆孔探查的难易程度有关,对于接触射线后的长期影响尚不能确定,尤其是对于需长期接受X线照射的术者。
第二种是此术式需全麻及气管插管,增加了患者麻醉及气管插管的风险,并且需全程经食道心脏彩超探头引导,增加了术中食道的损伤可能,其手术相关风险、费用等较DSA引导更高,住院时间更长。
第三种单纯经胸心脏彩超引导下、局麻下经皮卵圆孔未闭封堵术,是一种“绿色、零射线”的微创手术。优点主要是前两者的集合,不仅有局麻下不插管的优点,还有患者及术者术中规避了X射线的照射。但是此项技术目前尚无明确的规范化的手术流程,不仅要求术者经验丰富,而且需要术者与超声科医生默契配合,因此手术难度大,学习曲线长。
文图/心血管病医院四病区 刘员员
编辑/邓潇
主编/乐熙文 罗昭淦
监制/钭方芳
|
|
 |
|