| 2024年4月初,江西省人民医院(南昌医学院第一附属医院)胸外科成功为一名复杂食管癌患者进行手术。经过精心治疗,患者术后一周恢复饮食,并于近日康复出院。
图1 出院前患者和陈立如副主任医师等医护团队成员合影
据胸外科诊疗组长、副主任医师章晔介绍,该病例为一例异时性肺、食管重复癌患者,现年65岁,在2年余前曾因右肺上叶肺癌行根治性手术,并接受了术后辅助化疗,身体体力也因此有所下降;但不幸的是,患者在今年春节后出现吞咽困难,经胃镜检查确诊食管癌,后慕名到我院胸外科进一步诊治。
经过评估,患者为胸下段食管癌,没有远处转移,这意味着患者还有手术治愈的机会。然而这类患者手术风险极高。胸外科主任徐全在会上介绍到:这类患者既往手术侧往往存在严重的胸膜腔粘连,甚至胸膜腔闭锁,导致患者肺功能下降、肺顺应性降低,不利于手术和术后康复,术后氧需求往往较高,并且存在较高的肺部感染、吻合口瘘等严重并发症的风险,甚至给患者的生命带来危险。
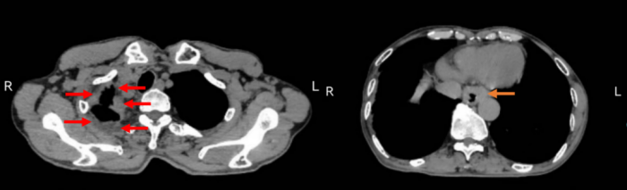
图2 患者既往右侧手术后痕迹,遗留严重粘连(红色箭头),右侧黄色箭头所示为食管癌
胸外科医疗团队经过讨论,为患者制定了个体化的治疗方案,采用腹腔镜辅助下左胸Ivor-Lewis术式为患者进行了食管癌根治术,有效避免了右胸手术史带来的不利影响,术后痰培养还证实患者存在肺部感染和抗生素多重耐药的情况。经过医护团队的精心治疗和护理,患者术后第2天即可下地活动,并在术后一周经造影证实吻合口愈合良好后恢复进食。
图3 患者术后痰培养证实存在肺部感染(左侧报告),术后一周造影显示吻合口顺利愈合
据副主任医师陈立如介绍,重复癌又称多原发癌,是指一个患者同一脏器或不同脏器发生2个或2个以上彼此之间无关系的肿瘤。以时间分类又可分为同时性和异时性两种。1889年外科创始人Billroth最早报道重复癌,从此之后临床资料报道越来越多,逐渐受到人们的重视。临床上应特别注重鉴别诊断,主要是要将重复癌与复发癌、转移癌鉴别,避免误诊和漏诊。因为重复癌与转移癌、复发癌存在本质区别,在治疗方法的选择和预后上有明显的差别,几乎所有的文献都支持重复癌患者可以根据病期、部位来选择以手术为主的根治性治疗方法,而后者往往只是采取以放疗和化疗为主的非手术治疗方式。重复癌经过早期发现、早期诊断、早期治疗,可使患者获得最佳疗效。
徐全介绍,我院是国家癌症中心首批食管癌规范化诊疗质量控制试点单位之一,而胸外科是食管癌规范化诊疗质量控制的关键科室,科室在食管癌诊疗方面在省内具有引领作用,早在2013年即在全省率先开展全微创食管癌根治术,目前技术力量全面,常规开展达芬奇机器人食管癌根治术,胸腹腔镜食管癌根治术和单孔纵隔镜-腹腔镜食管癌根治术等,并在疑难、复杂食管疾病的外科治疗方面积累了丰富经验。
专家介绍
徐全
江西省人民医院
胸外科主任
主任医师
教授
硕士研究生导师
专业擅长:长期从事胸部外科的临床和科研工作。擅长微创下食管癌根治术、肺癌根治术、肺段切除术、联合肺亚段切除术、胸腺/纵隔肿瘤切除术,微创下手汗症治疗,微创下漏斗胸胸矫治手术。尤其在胸腔镜领域,是江西省胸部微创外科的开拓者和推行者,被评为江西省卫生系统学术及科技带头人培养对象、陆续为全省培养了百余名微创胸外科医生,牵头开展了各种复杂胸外科微创外科手术和胸外科诊疗技术,填补多项省内空白。2012年10月即作为江西省唯一代表荣誉出席第三届亚太胸腔镜肺叶切除大会作经验交流,并获奖;2019年10月作为国内交感神经外科最高水平的代表之一荣誉出席在意大利举行的第13届国际交感神经外科大会并发言。
现任中国医师协会胸外科分会委员、 江西省保健学会胸外科学分会主任委员、中国抗癌协会江西食管癌专业委员会副主任委、世界华人肿瘤医师协会胸部肿瘤专业委员会常委、中国医师协会胸外科分会手汗症专家委员、吴阶平医学基金会交感神经外科专业委员会常委、中国老年学和老年医学学会肿瘤康复分会食管癌专家委员会常委。
完成SCI及国家级期刊论文十余篇、多项国自然、省科委和省卫健委课题,获省科技进步三等奖、作为主编发表专著“实用胸腺肿瘤及重症肌无力外科学”、研发 “一种新型胸部外科胸腔镜单孔手术时所用的切开保护套”国家实用新型专利。获得江西省卫健委“优秀共产党党员”、江西省人民医院“最美医生”、鹰潭市“五一”劳动奖章等荣誉称号。

章晔
胸外科副主任医师
诊疗组长
专业擅长:从事普胸外科专业,擅长重症肌无力的综合性治疗,肺癌,食管癌的外科治疗,掌握胸腔镜技术。硕士毕业于南昌大学医学院临床医学专业。
2009年在上海胸科医院学习胸腔镜技术。2010年参加由ERT(紧急救训练中心)组织的基础灾害救援医学培训,加入急救组织。2014年在山东齐鲁医院心脏外科学习胸腔镜心脏外科技术,2016年在安贞医院心外科进修学习一年,2017年在上海中山医院心外科学习胸腔镜辅助微创心脏手术技术。2018年完成澳洲华人生物医学科学院协会主办的澳大利亚生物医学学习班。
江西省医学会创伤学分会委员。完成课题四项。发表SCI文章两篇,医学论文四篇。参编著作《食管外科》和《肺外科学》两部。《重症肌无力外科治疗关键技术与应用》获江西省科学技术进步三等奖。
每年独立完成胸外科手术百余例。完全掌握了胸腔镜下的肺部肿瘤切除、胸腺切除、手汗症、漏斗胸、胸外伤等微创技术。在处理心胸外科危重并发症如支气管胸膜瘘,胸骨裂开及胸骨后感染,食管吻合口瘘上有独特的方法并获得成功。

陈立如
胸外科副主任医师
医学博士
长江胸科食管协作组天臣青年访问学者
专业擅长:从事胸外科医教研工作10年余,曾在上海市胸科医院食管外科进修一年,师从著名食管外科专家李志刚教授。擅长机器人/胸腔镜微创食管外科,肺癌微创外科治疗;以及疑难、复杂食管疾病的外科治疗。在肺结节,气管外科(气管肿瘤、气管插管后气管狭窄、各种气管食管瘘等),纵隔肿瘤(胸腺瘤、后纵隔肿瘤等),胸外伤(肋骨骨折、连枷胸、血气胸等),重症肌无力,肺大疱和手汗症等疾病的外科治疗方面亦有丰富经验。
文图/胸外科 陈立如
编辑/罗青霞
审核/罗昭淦
终审/乐熙文
|