2024年4月,江西省人民医院(南昌医学院第一附属医院)胸外科成功为一例复杂胸廓入口处肿瘤患者进行手术。该处肿瘤位置关键,周围毗邻重要神经血管,手术难度极大,经过术前详细评估,术中谨慎操作,术后精心治疗,患者恢复良好顺利出院。
该患者是一名54岁男性,因“检查发现纵隔肿物1周”入院。无咳嗽、咳痰、胸闷、声音嘶哑、肢体麻木疼痛等伴随症状。既往有高血压病史。入院检查发现,患者肿瘤位置刁钻,位于左侧胸廓入口处,周围有多根重要神经血管穿行,稍有不慎,伤及血管则大出血,伤及迷走神经喉返神经易导致声音嘶哑,伤及脊神经根、臂丛神经等则会出现肢体活动障碍,左上肢残废。因此,胸外科主任徐全团队为该患者精心制定诊疗方案,争取一方面根除肿瘤,一方面力保功能。
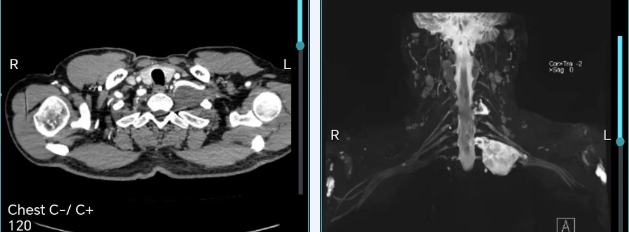
徐全在术前详细评估时指出,纵隔肿瘤首先要看肿瘤性质:该患者完善颈胸部增强CT,判断肿瘤性质为神经鞘瘤可能性大,神经鞘瘤一般为良性,有明显包膜,与周围组织有界限,这给了我们极大信心。其次要看肿瘤位置:肿瘤位于左侧胸廓入口处,上界平第6颈椎,下界为胸膜,内侧为颈椎椎体并有部分肿瘤进入C7椎间孔,前方锁骨下动脉受挤压走行迂曲,后方脊神经根穿行其中,界限不清。处处都是危险区域,为了避免损伤脊神经根及臂丛,根据肿瘤性质,我们分析可能可以采取包膜内切除的方法。最后要确定手术入路,胸廓入口处肿瘤通常位于锁骨下方,要充分暴露术野,一般采用颈部胸部联合的L形切口。
术中取左颈胸部L形切口,充分暴露锁骨下方区域。再依次游离锁骨下静脉、颈内静脉、锁骨下动脉、颈总动脉、迷走神经、胸导管,一一牵拉开,充分显露肿瘤。见肿瘤质地较软,有完整包膜,大小约5*4*4cm,考虑与术前评估相符,为神经鞘瘤。因此按照术前计划,将肿瘤外层包膜打开,将内层肿瘤整体剥除。
术后该患者恢复良好,稍觉左侧中指、无名指、小指麻木,无声音嘶哑、肢体疼痛、活动障碍、霍纳综合征等。
据胸外科纵隔外科及重症肌无力专科主治医师尹随介绍,胸廓入口位于胸腔的上方,由第一胸椎、第一肋和胸骨围绕而成。臂丛神经、锁骨下动、静脉横贯其中。这一区域的肿瘤常见有神经源性肿瘤、肺上沟瘤、食管肿瘤、气管肿瘤等。其中神经源性肿瘤大部分为良性,这些良性肿瘤通常引起胸廓入口内神经、血管受压而出现症状。而其余肺上沟瘤、食管肿瘤、气管肿瘤等通常为恶性,常见有痰中带血、进食梗阻、呼吸困难等症状。这一部位的肿瘤手术困难,要求外科医生熟练掌握胸廓入口的解剖,术中仔细操作,才能避免损伤周围的重要神经、血管等组织结构。
此患者的手术成功标志胸外科纵隔肿瘤与重症肌无力专科的救治水平实现新飞跃。徐全表示,设立纵隔肿瘤与重症肌无力专科,旨在通过多学科协作的方式,开启亚专科专病专治新模式,为患者提供更为全面、高效的治疗方案。自纵隔肿瘤与重症肌无力专科成立以来,科室始终秉持着对患者高度负责的态度,不断探索和实践,力求为患者提供最高水平的医疗服务。
江西省人民医院胸外科在胸腺肿瘤领域具有显著优势,已成功实施多例胸腺扩大切除术,有效救治了众多肌无力危象患者。同时,胸外科在达芬奇机器人辅助下的胸腺瘤切除+无名静脉切除术、复杂后纵隔肿瘤切除术以及胸廓入口处肿瘤切除术等复杂手术方面也积累了丰富的经验。展望未来,胸外科将继续发扬承前启后、继往开来的精神,不断提升技术实力和服务水平,为广大患者提供更加优质、高效的医疗服务。
专家介绍
徐全
江西省人民医院胸外科主任、主任医师、教授、硕士研究生导师。
专业擅长:长期从事胸部外科的临床和科研工作。擅长微创下食管癌根治术、肺癌根治术、肺段/联合亚段切除术、胸腺/纵隔肿瘤切除术、隐藏切口手汗症微创治疗,微创漏斗胸/鸡胸矫治术等。尤其在胸腔镜领域,是江西省胸部微创外科的开拓者和推行者,被评为江西省卫生系统学术及科技带头人,陆续为全省培养了百余名胸外科医生,牵头开展了各种复杂胸外科微创外科手术和胸外科诊疗技术,填补多项省内空白。担任江西省医师协会胸外科分会主任委员、江西省医学会胸外科分会副主任委员、江西省保健学会胸外科分会主任委员、中国医师协会胸外科分会委员、世界华人肿瘤医师协会胸部肿瘤专业委员会常委、中国医师协会胸外科分会手汗症专家委员、吴阶平医学基金会交感神经外科专业委员会常委等重要学术任职。发表SCI及国家级期刊论文数十篇、主持多项国自然、省级课题,“危重型重症肌无力综合治疗”获省科技进步三等奖、作为主编发表专著“实用胸腺肿瘤及重症肌无力外科学”。获得江西省卫健委“优秀共产党党员”、江西省人民医院“最美医生”等荣誉称号。

尹随
江西省人民医院胸外科主治医师 医学硕士
从事胸外科工作10余年,2022年于上海市胸科医院纵隔外科进修一年。
专业擅长:胸外科疾病综合诊治及微创治疗:包括肺结节、食管疾病,纵隔肿瘤、重症肌无力,气胸,手汗症,胸壁畸形矫治,静脉输液港,肺穿刺活检、射频消融等。
国内外核心期刊发表论文6篇。
文图/胸外科 尹随 陈洁
编辑/罗青霞
审核/罗昭淦
终审/乐熙文
|